Spiegeleisen

Bei dem Spiegeleisen handelt es sich um einen untereutektischen Guss, der vorwiegend in der Stahlindustrie für die Herstellung von Werkzeugen, Klingen und andere verschleißfeste Komponenten verwendet wird. Seine bedeutendste Fähigkeit ist es, während des Erhitzens und Abkühlens eine ausgezeichnete Härte und Festigkeit beizubehalten.

Der Legierungsanteil Mangan (4,92%) verbessert die Schmied- und Schweißbarkeit, da es den Schwefel zu Mangansulfid bindet.

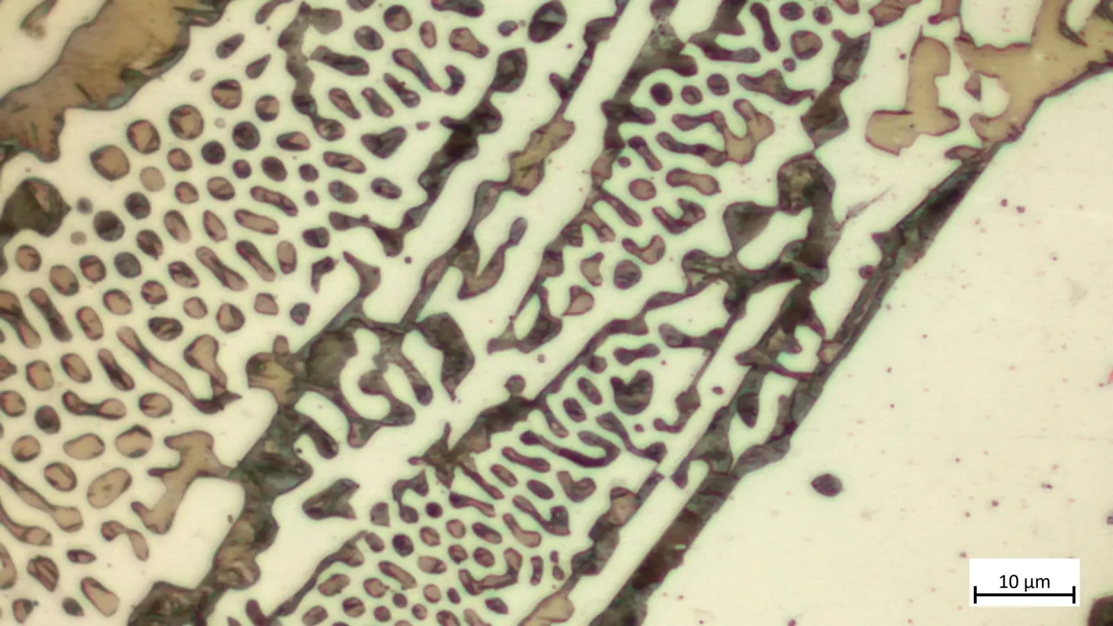
Das hier vorliegende Spiegeleisen weist eine Härte von 750 HV auf und wurde 15s mit Nital geätzt. Seine Hauptlegierungsbestandteile sind Kohlenstoff (3,86 – 5,00 %) und Mangan (4,92 – 12,15 %). Das Gefüge besteht aus einer Ledeburit-Matrix mit Primärzementit.

 

Spiegeleisen Nital 25x
Spiegeleisen Nital 50x
Spiegeleisen Nital 100x
Spiegeleisen Nital 200x
Spiegeleisen Nital 500x
Spiegeleisen Nital 1000x
back-to-top nach oben