1.0503 / C45

Es handelt sich hierbei um einen unlegierten Vergütungs- bzw. Baustahl, der sich durch ein sehr gleichmäßiges Materialgefüge auszeichnet. Die Zugfestigkeit beträgt nach der Vergütung 700 bis 850 N/mm² und liegt im normal geglühten Zustand bei 620 N/mm².
Der hier untersuchte Werkstoff wurde weichgeglüht.
Vergütungsstähle werden im Allgemeinen für stark beanspruchte Bauteile verwendet, bei denen eine hohe Festigkeit und Verschleißfestigkeit mit Zähigkeit benötigt wird.

Der Grundwerkstoff besitzt ein ferritisch-perlitisches Gefüge mit ausgeglichenem Perlitanteil.

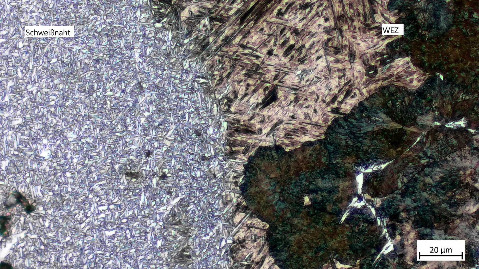
Innerhalb der Wärmeeinflusszone der einlagigen Schweißung ist ein perlitisches Gefüge mit Martensit, Bainit und etwas Ferrit vorhanden. Neben dem immer feiner werdenden Gefüge in Richtung Grundwerkstoff, erkennt man den weiter abnehmenden Anteil des Martensits sowie den leicht zunehmenden Anteil des Ferrits.
Besonders der Perlitanteil steigt in Richtung des Grundgefüges.

Bei der dreilagigen Schweißung ist kein Martensit mehr vorhanden. Es handelt sich um ein perlitisch-ferritisches Gefüge mit deutlich höheren Anteilen an Perlit.

Sowohl in der einlagigen als auch in der Decklage der dreilagigen Schweißnaht, ist ein Widmannstättensches Gefüge zu sehen, dieses wird auch Überhitzungsgefüge genannt. In den unteren Lagen der dreilagigen Schweißnaht wurde das Gefüge normalisiert, da durch die mehrlagige Schweißung die Abkühlzeit für die Wurzel und Schweißnahtmitte erhöht wurde.

In den vorliegenden Fällen wurde mit Nital geätzt und mit dem Zusatzstoff G4Si1 MAG-geschweißt.

Grundwerkstroff

25x, Nital geätzt
50x
100x
200x
500x
1000x

Einlagige Schweißung:

50x, Schweißgut
50x, Übergang Schweißgut/WEZ
50x, Übergang WEZ/Grundwerkstoff
200x, Schweißgut /WEZ
200x, WEZ
200x, WEZ
500x, Übergang Schweißgut/WEZ
500x, WEZ
500x, Übergang WEZ/Grundwerkstoff
1000x, Übergang Schweißgut/WEZ Schweißgut mit Widmannstättenschem Gefüge
1000x, WEZ
1000x, WEZ

Dreilagige Schweißung

50x, Übergang Grundwerkstoff/WEZ
50x, Übergang WEZ/Schweißgut
50x, Schweißgut (Wurzel)
200x, WEZ
200x, WEZ
200x, Übergang WEZ/Schweißnaht
500x, WEZ in Nähe GW
500x, WEZ in Nähe Schweißgut
500x, Übergang WEZ/Schweißgut mit Widmannstättenschem Gefüge
1000x, WEZ in Nähe GW
1000x, WEZ Schweißnaht
1000x, Übergang WEZ/Schweißgut
back-to-top nach oben