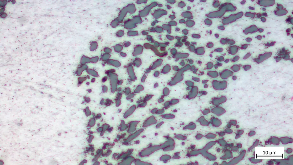
G AlSi12 / EN Ac-44100 / 3.2581.01

100x
200x
500x
1000x

Zusammensetzung:
12,95 % Silizium, 0,39% Mangan, 0,24% Eisen

Gefügeaufbau:
In Al-Grundmasse(nach NaOH beige) primäre Siliziumkörner und grobes Al-Si-Eutektikum

  • Allg. Eigenschaften:
    • Eutektische Legierung mit ausgezeichnetem Formfüllungsvermögen,
    • hohe Warmrissbeständigkeit und ausgezeichneten Gießeigenschaften
    • bei hoher chemischer Beständigkeit.

Verwendungsmöglichkeiten:
verwinkelte, dünnwandige, druckdichte und schwingungsfeste Gussstücke bei sehr guter Korrosionsbeständigkeit.

Anwendungsbeispiele:
Maschinenteile, Zylinderköpfe und –blöcke, Kurbel-, Motoren- und Pumpengehäuse, dünnwandige Gehäuse, Flügelräder, schwierige Montageböcke

Euro-Norm:
EN AC-44100

DIN Nr.:
3.2581.01

back-to-top nach oben