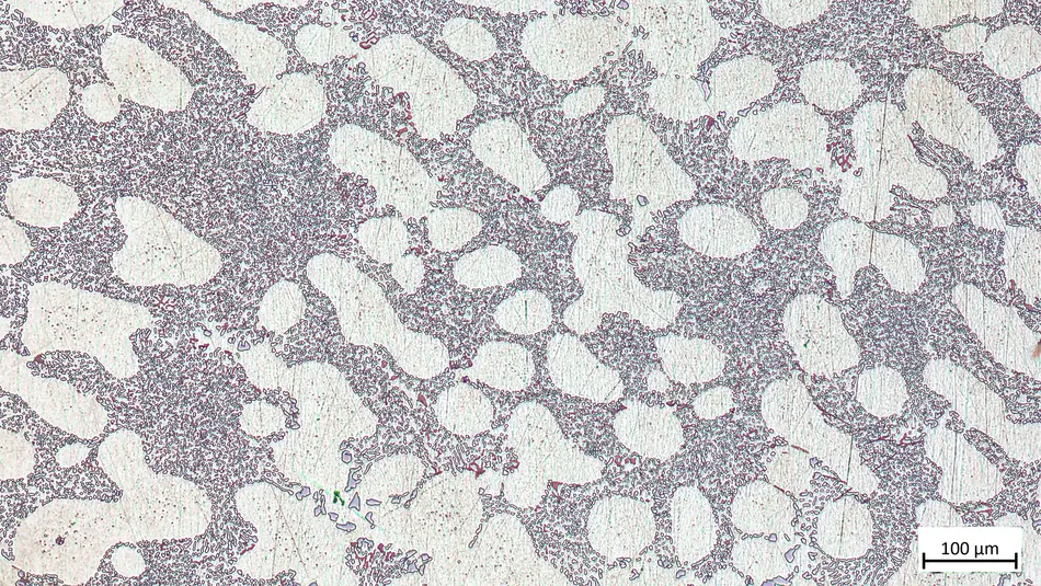
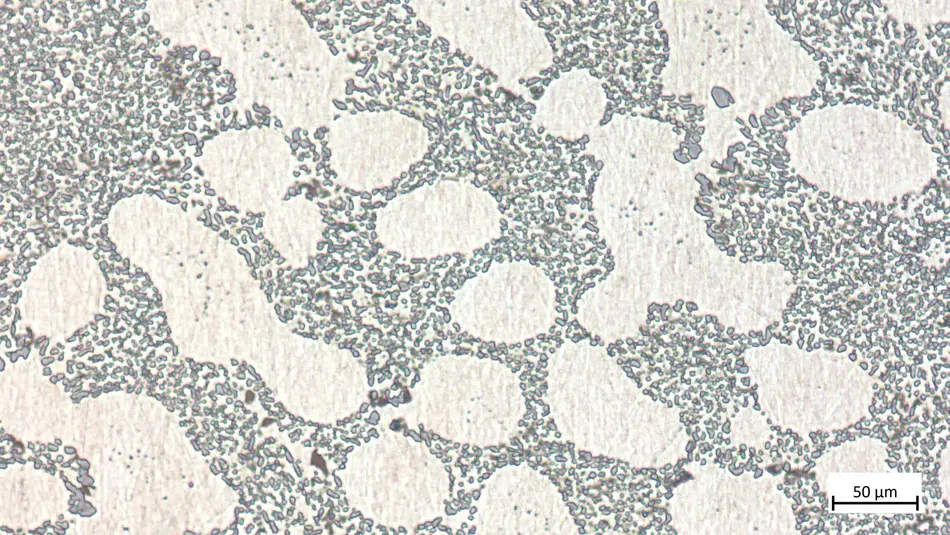
G-AlSi10Mg / EN AC - 43000 / 3.2382

100x
200x
500x
1000x
  • Zusammensetzung: 
    10,00% Silizium, 0,40% Mangan, 0,39% Magnesium, Rest Aluminium
  • Gefügeaufbau:
    • Untereutektische primäre Al-Mischkristalle (hell) mit Al-Si-Eutektikum
    • Sandguss veredelt und ausgehärtet. Wärmebehandlung
    • 4h 530°C / Wasser
    • 20h 150°C / Luft
  • Allg. Eigenschaften:
    gute thermische Eigenschaften, gute Festigkeit und Härte, hohe dynamische Belastbarkeit, sehr gutes Fließvermögen, sehr gute Warmrissbeständigkeit, sehr gute Spanbarkeit, ausgezeichnete Schweißbarkeit, können eloxiert, poliert und mechanisch nachbearbeitet werden, korrosionsbeständig
  • Verwendungsmöglichkeiten:
    Gusslegierung für dünnwandige und komplexe Geometrien mit hoher dynamischer Belastung, hohe thermische Leitfähigkeit
  • Anwendungsbeispiele:
    Automotive, Motorsport, Luft- und Raumfahrt, Prototypenbau, Serienteile
back-to-top nach oben