AlSi7Mg0,3 / EN AC-42100

Bei diesem Aluminiumgusswerkstoff handelt es sich um eine häufig eingesetzte Universallegierung, die im Wärmebehandlungszustand T6 gute mechanische Eigenschaften entwickelt. Neben guter Korrosionsbeständigkeit ist der
Werkstoff gut schweiß- und spanbar. Vorwiegend wird er im Armaturenbau, Motorenbau, Kraftfahrzeugbau und der Flugzeugindustrie angewendet.

25x, NaOHgeätzt,
50x, NaOHgeätzt,
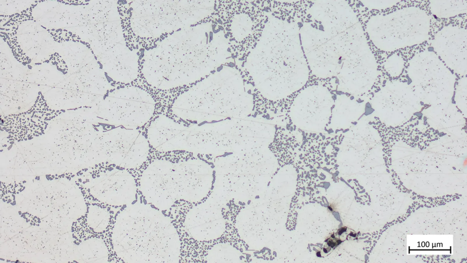
100x, NaOHgeätzt,
200x, NaOHgeätzt,
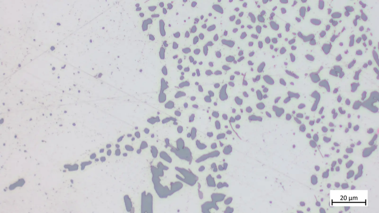
500x, NaOHgeätzt,
1000x, NaOHgeätzt,

Doppeltätzung

25x
50x
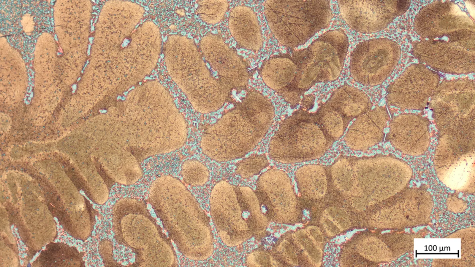
100x
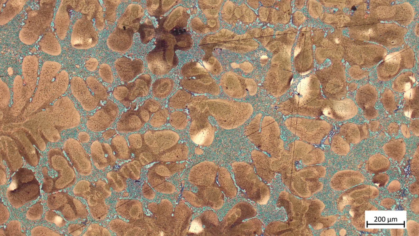
200x
500x
1000x
500x Es treten MG-Si-Ausscheidungen auf.
back-to-top nach oben