3.2315 / EN AW 6082

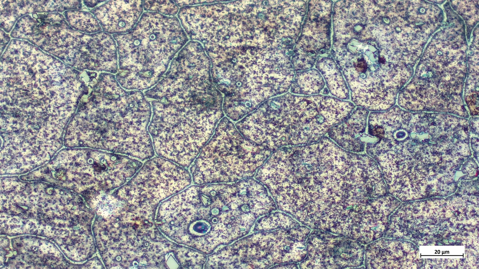
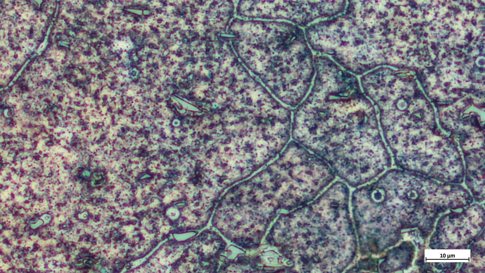
Diese Aluminiumlegierung zählt zu der Gruppe der aushärtbaren Aluminium-Knetlegierungen. Sie ist gut schweißbar und korrosionsbeständig. Aufgrund ihrer guten Leitungseigenschaften findet sie auch Anwendung als elektrischer Leiter.

In der Aluminiumgrundmatrix sind vereinzelnde intermetallische AlSiFeMn-Phasen vorhanden. Besonders gut sind diese bei einer Ätzung mit NaOH erkennbar.
Zur Sichtbarmachung der Körner ist eine Doppelätzung mit NaOH und Kaliumpermanganat notwendig.

50x
100x
200x
500x
1000x

Oberseite

25x
50x
100x
200x
500x
1000x
back-to-top nach oben