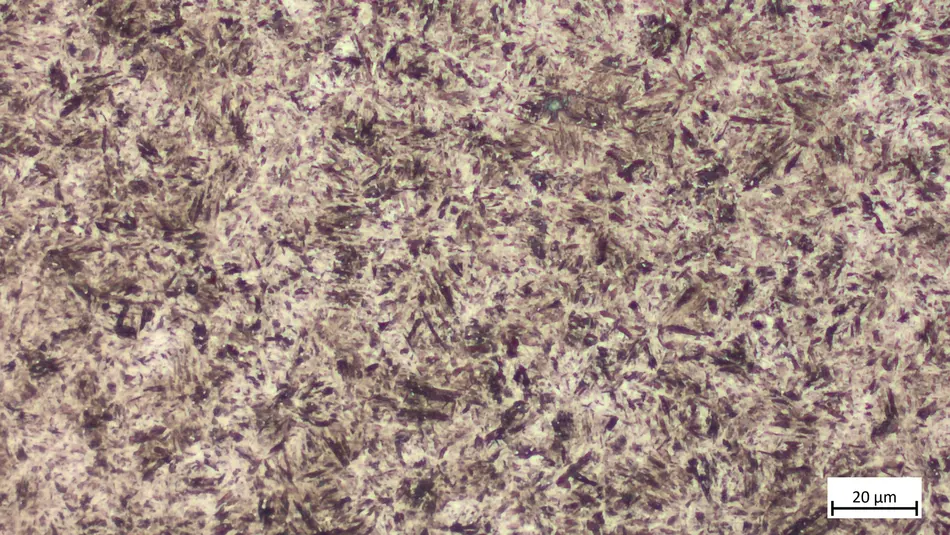
Cr-V-Stahl / nicht genormt

Bei dem Chrom-Vanadium Stahl liegt ein Martensitiches Gefüge vor, charakteristisch zu erkennen an seiner Nadeligen Struktur.

Der Werkstoff ist Untereutektoid.

Der Chrom Anteil des Stahls verschiebt den Perlitbereich und den Zwischenstufenbereich im ZTU-Diagramm weiter nach rechts. Dadurch wird die Bildung von Martensitischem Gefüge begünstigt.

Das Gefüge ist dadurch typischer Weise spröde und feinnadlig.

Da der Werkstoff bei etwa 840 grad Celsius in Oel gehärtet wurde, hatte der Kohlenstoff keine Zeit zu Diffundieren.

Die chemische Zusammensetzung besteht zu 0,58% Kohlenstoff , 1,95% Mangan , 1,03% Chrom und zu 0,1% Vanadium.

100x
200x
500x
1000x
back-to-top nach oben