1.7225 / 42CrMo4

Dieser Vergütungsstahl zeichnet sich durch eine hohe Zähigkeit und Festigkeit aus. Er ist nur sehr schwer Schweißbar und es empfiehlt sich eine anschließende Wärmebehandlung.

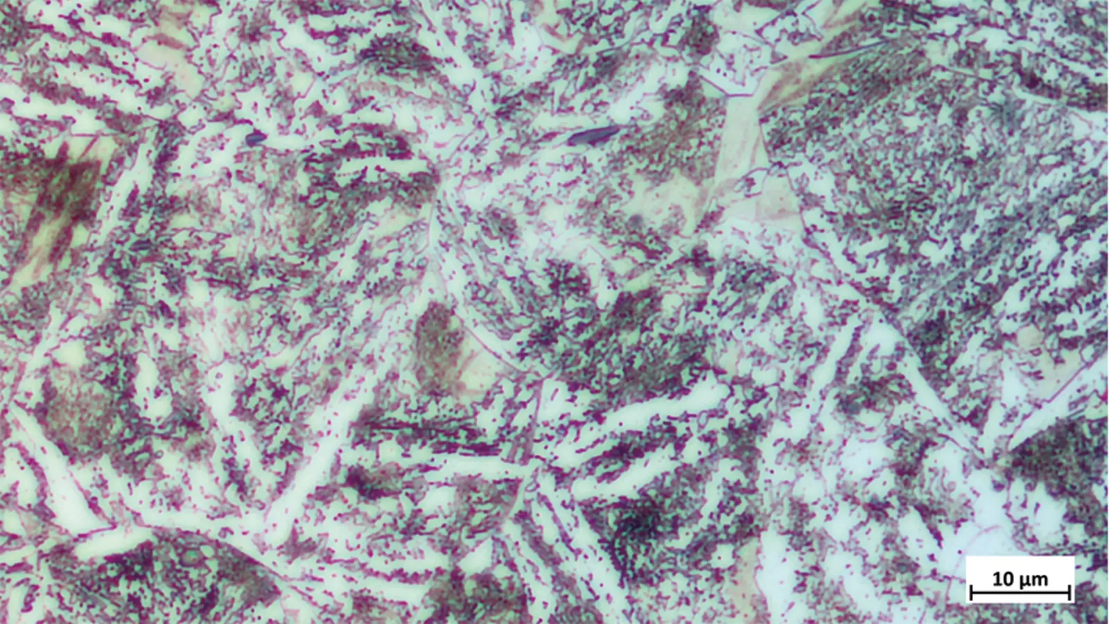
Das vorliegende Gefüge ist martensitisch.

200x
500x
1000x

Vergüteter Zustand-QT

Die Härtewerte betragen bis zu 500HV10.

50x
100x
200x
500x
1000x

Weichgeglühter Zustand

25x, alkohol. Salpetersäure 2%
50x
100x
200x
500x
1000x

1.7225 / Vergütungsstahl 42CrMo4

42CrMo4 ist ein Vergütungsstahl mit einer Festigkeit von 900-1200 N/mm². Er wird für Teile im Automobil- und Flugzeugbau, die eine hohe Zähigkeit erfordern, eingesetzt.
Im vergüteten Zustand ist 42CrMo4 nur sehr schwer schweißbar und eignet sich daher nicht für Schweißkonstruktionen.

Chemische Zusammensetzung: Gebundener Kohlenstoff 0,43%, Silizium 0,32%, Mangan 0,74%, Schwefel <0,035%, Phosphor <0,035%, Chrom 1,2%, Molybdän 0,25%

Das vorliegende Gefüge ist bainitisch mit Ferrit und feinem Perlit.

Der Stahl wurde bei 720°C weichgeglüht und wurde mit alkoholischer Salpetersäure (2%) geätzt.

back-to-top nach oben