1.4037 / AEB-L (Uddeholm)

Dieser martensitische Chromstahl zeichnet sich insbesondere durch seine hohe Härtbarkeit und seine Verschleißfestigkeit aus. Der Stahl eignet sich bestens für besonders dünne, rostträge Klingen und kann als Messerstahl verwendet werden.

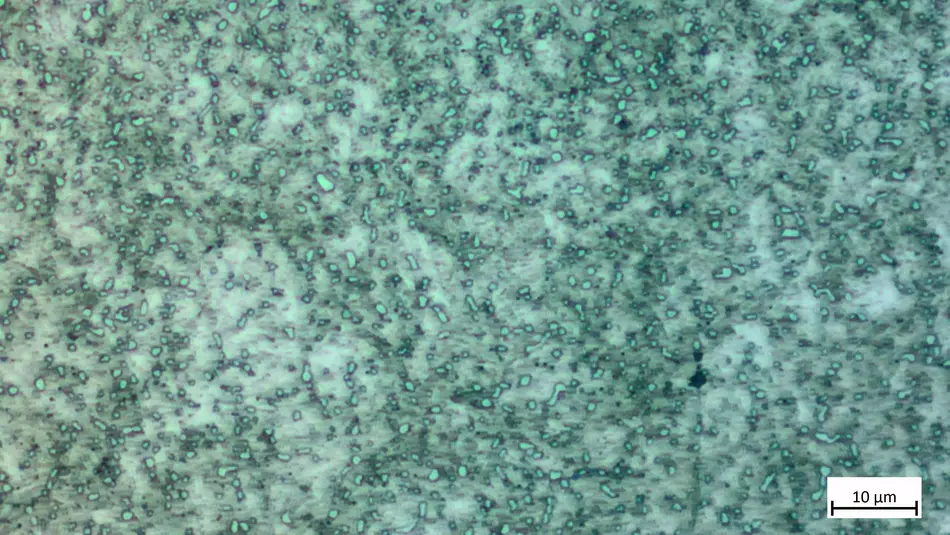
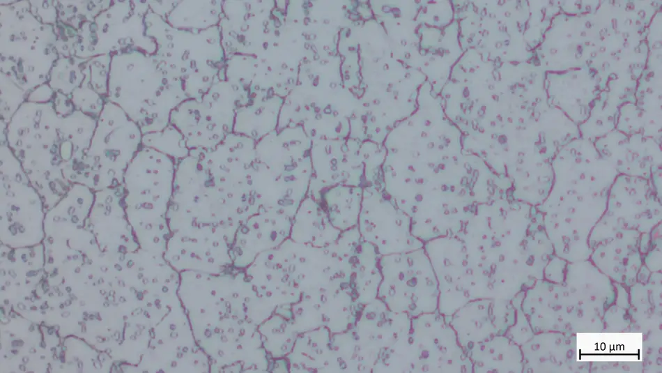
Im martensitischen Gefüge sind Ausscheidungen der primären Chromkarbide erkennbar. Alle Schliffbilder sind von Luftgehärteten Proben (1050 Grad Celsius)

100x Vergrößerung V2A Beize Walzrichtung erkennbar
1000x Vergrößerung Ätzmittel nach Adler Chromkarbide sichtbar
1000x Vergrößerung V2A Beize Korngrenzen sichtbar
REM-Aufnahme 2700 x V2A Beize Chromkarbide erkennbar
back-to-top nach oben